환영합니다.
본문 바로가기

디지털 전환 AI/Robot (인공지능/로봇)

SONIX HEALTH - AI 기반 자동 심초음파 영상분석 솔루션

솔루션 간략정보 및 구매기능

온택트헬스

SONIX HEALTH - AI 기반 자동 심초음파 영상분석 솔루션
#ai# 의료# 초음파# 영상# 솔루션

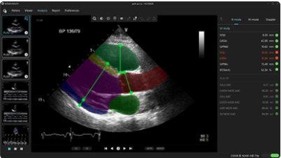
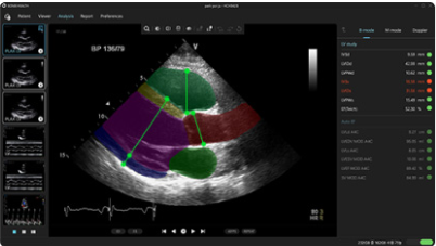
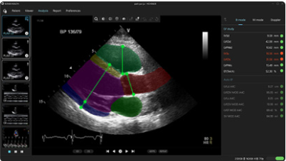
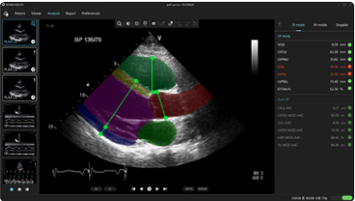
간편한 조작, 신속·정확한 결과 도출, AI 기반 자동 심초음파 영상 분석 솔루션 SONIX HEALTH™ 심장의 형태적, 기능적 평가를 위한 자동 정량화 AI 기술

SNS공유

판매처 소개

ontacthealth_logo.png

온택트헬스

온택트헬스는 건강-의료 ICT서비스의 ‘기획-개발-검증’ 全주기의 전문역량을 내재화하고 있습니다.
이를 통해 변화하는 시장수요를 충족하는 완성도 높은 서비스를 적시에 제공하고 끊임없이 개선시켜 나아갑니다.

0***** 담당자 : 온** o******** 홈페이지

    💙 적용분야/주요기능

  • 심초음파 영상을 자동 식별

    👍 특장점

  • 기존 워크플로우와의 높은 호환성

    🖥️ 시스템 요구사항

  • 문의 요망

    ✅ 고객사 준비사항

  • 문의 요망

    🛠️ 제품지원/유지보수 정책

  • 문의 요망

    👤 고객사례/적합고객

  • 병원, 의료재단

      📘 솔루션 상세설명

      1. 심초음파 영상을 자동으로 식별하고, 최적의 측정값을 제공합니다.

      2. 자동으로 심박출률, 심근 변형률을 제공합니다.

      3. 반복적인 수동작업을 줄임으로써 분석 소요 시간 단축


      솔루션 홈페이지 : ON:TACT HEALTH | SONIX HEALTH™ (ontacthealth.com)

      솔루션 문의가 없습니다.

      ITSolution : 아이티솔루션 정보

      BANK INFO

      예금주 :

      국산 솔루션 Ecosystem을 통해 기업의 경쟁력을 높이고 IT산업 발전을 선도하겠습니다.

      한국IT진흥(주) 서울특별시 영등포구 양평로 21가길 19(양평동5가) 우림라이온스밸리B동 6층
      대표 : 문동인 사업자등록번호 : 220-81-60936
      개인정보관리책임자 : 박세홍

      Copyright © 2022 Kitt. All Rights Reserved.

      상단으로